Deep scaling (Hygiene)

BOOK NOW

Deep Clean (Deep Scaling)

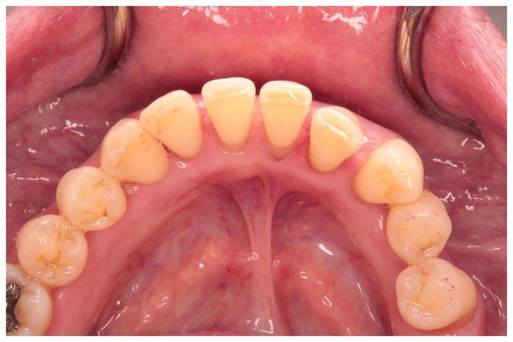
Nice result after a scaling and practical tips to keep these pearly whites clean, the patient is confident that saving teeth is what we do!  Gum health has a systemic connection to your overall well-being. 

Healthier smile, gums responded well to treatment.

Love your gums and they will love you back!

Call us (09) 600 3110 to schedule an appointment for gum treatment.

book now
Victoria Riechelmann