BOOK NOW

Using Perioscopy to Save Teeth Without Surgery

Perioscopy is a minimally invasive and cost-effective treatment of gum disease. It has long been a standard of care around the world and is now available in New Zealand at our dental practice in Auckland. 

Icons-01.png

Effective

Perioscopy is a revolutionary procedure featuring a medical-grade miniature endoscope, which enables your clinician to effectively diagnose and treat the areas beneath the gum line, avoiding the need for surgical intervention.


Icons-02.png

Minimally invasive

The gums are numbed up, and the endoscope is inserted into the periodontal pocket, allowing the clinician to gain an illuminated and magnified view of the root structures. Slender manual and power-driven instruments are then used in real time to remove harmful bacterial deposits from deep periodontal pockets. Once the meticulous cleaning is complete your gums can start to heal naturally.


Icons-03.png

Cost effective

The cost of treatment can vary depending on the severity of your gum disease. During the initial consultation, an estimated treatment plan will be given: however, endoscopy is considerably cheaper then surgery. Also, unlike surgery, no post-operative or suture removal appointments are needed, allowing you to return to your everyday life faster while enjoying the benefits of your healthy gums.

Before After

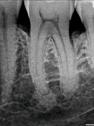
Great result of Perioscopy demonstrating before and after X-ray of the lower incisor. Initially this patient presented with a deep periodontal pocket, but only after one session of Perioscopy, a notable bony refill was evident on X-rays. Clinically his pockets reduced to 4 mm, and the patient was pleased to be able to save his tooth.

Before After

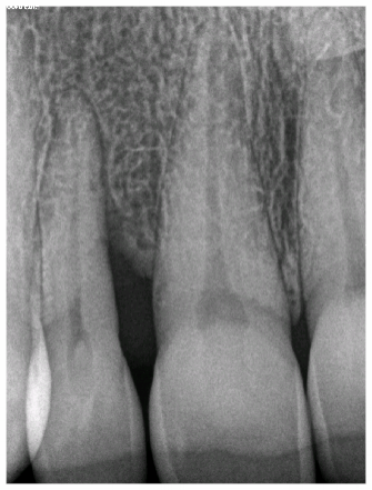
The before and after x-rays of the front tooth demonstrating a healthy bone refill. This is an exceptional result using non-surgical treatment. Perioscopy allowed us to both save this tooth from extraction and the smile of the patient.  

...

Before After

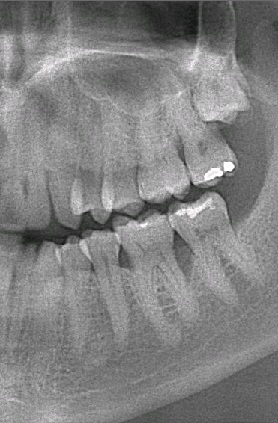
Before and after X-rays demonstrating a healthy bony refill on the distal of the lower molar after only one session of Perioscopy. Bone loss on the back of the last molar is a common problem occurring after extraction of some wisdom teeth. With the help of Perioscopy we can now save more teeth than ever before!

Perioscopy results

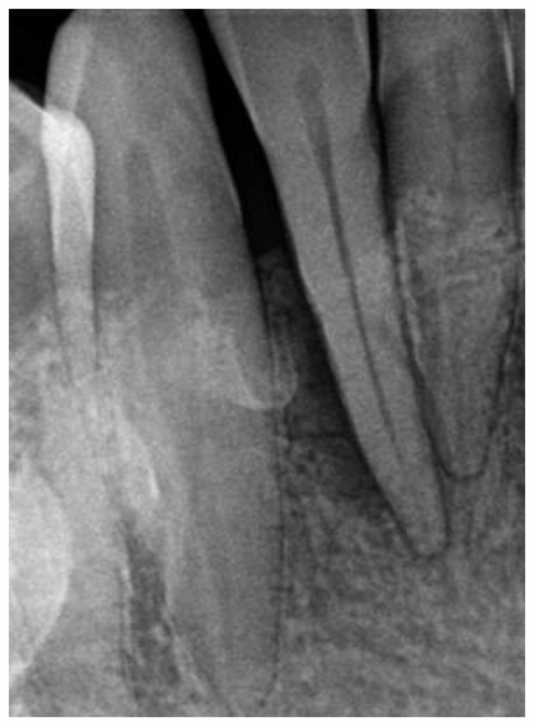
Another lovely result of non-surgical gum treatment using Perioscopy. Lucky for this tooth, there is now more bone to support it in the gum. Keeping your back teeth are in good periodontal shape will not only help with chewing your food but will also preserve the health of your front teeth.

...


BOOK NOW

FAQ


Do I need a gum examination as I already had one at my dentist?
 All patients, regardless of their geographic location, are required to undergo a periodontal consultation before any treatment. This is to allow us to examine, diagnose, and create a comprehensive treatment plan with accurate quotes. We do not carry out any treatment on the same day as the examination—no exceptions.

I love the idea of Periosocpy and want to book for it. Perioscopy is an advanced technology used to definitively treat deep periodontal pockets, but it is only prescribed by a clinician. Patients cannot select this treatment option independently from the list of services.

Do I need to get deep scaling redone if I just had it at my regular dentist? In our experience 95% of patient will need some form of deep scaling redone to improve the effectiveness of Periosocpy treatment.

Treatment Pricing: Please refer to the gum treatment price list for more details.

Booking a Periodontal Exam: To schedule your periodontal examination, please use our secure and convenient online booking system.


PERIOSCOPY – NON-SURGICAL GUM TREATMENT

Perioscopy uses a miniature fibre-optic camera to see deep beneath the gums and treat gum disease without traditional surgery. At Clean Teeth Dental in Auckland, we use this advanced, minimally invasive technology to remove hidden bacteria, help save teeth, and support long-term gum health. If you have been told you need gum surgery or have ongoing gum problems, talk to us about whether Perioscopy could be an option for you.