Invisalign - Teeth Straightening

BOOK NOW

Get ready for something great. Start with your Smile!

Clean Teeth Dental is proud to offer Invisalign - the clear and virtually invisible solution for straightening teeth. Our experienced team of professionals will ensure results you will be satisfied with to set your teeth straight!

Where to start?

There is so much more to creating a beautiful smile than just having straight teeth. The Invisalign consultations are a part of our comprehensive examination. If you are a good candidate for Invisalign treatment and you are happy to proceed, we will book the next step - ClinCheck.

What is ClinCheck?

ClinCheck is an appointment during which we take all records necessary (photos, x-rays and impressions) to analyse your smile in detail. All collected information will be then put together in order to give you an estimate of the price and length of the treatment required. ClinCheck's price is non-refundable $500. If you go ahead with the treatment the price of the ClinCheck will be credited towards your treatment.

How much does Invisalign cost?

Express treatment 7 aligners- small imperfections in teeth alignment - $3000

Light 14 aligners- moderate misalignment (crossbite or moderate crowding) - $6000

Complex 26 aligners - moderate to advanced crowding, overbite, underbite $9000

Got more questions? Contact us!

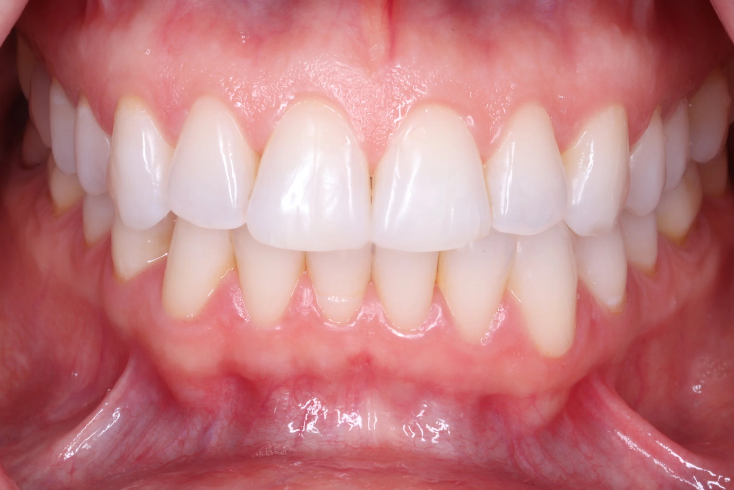
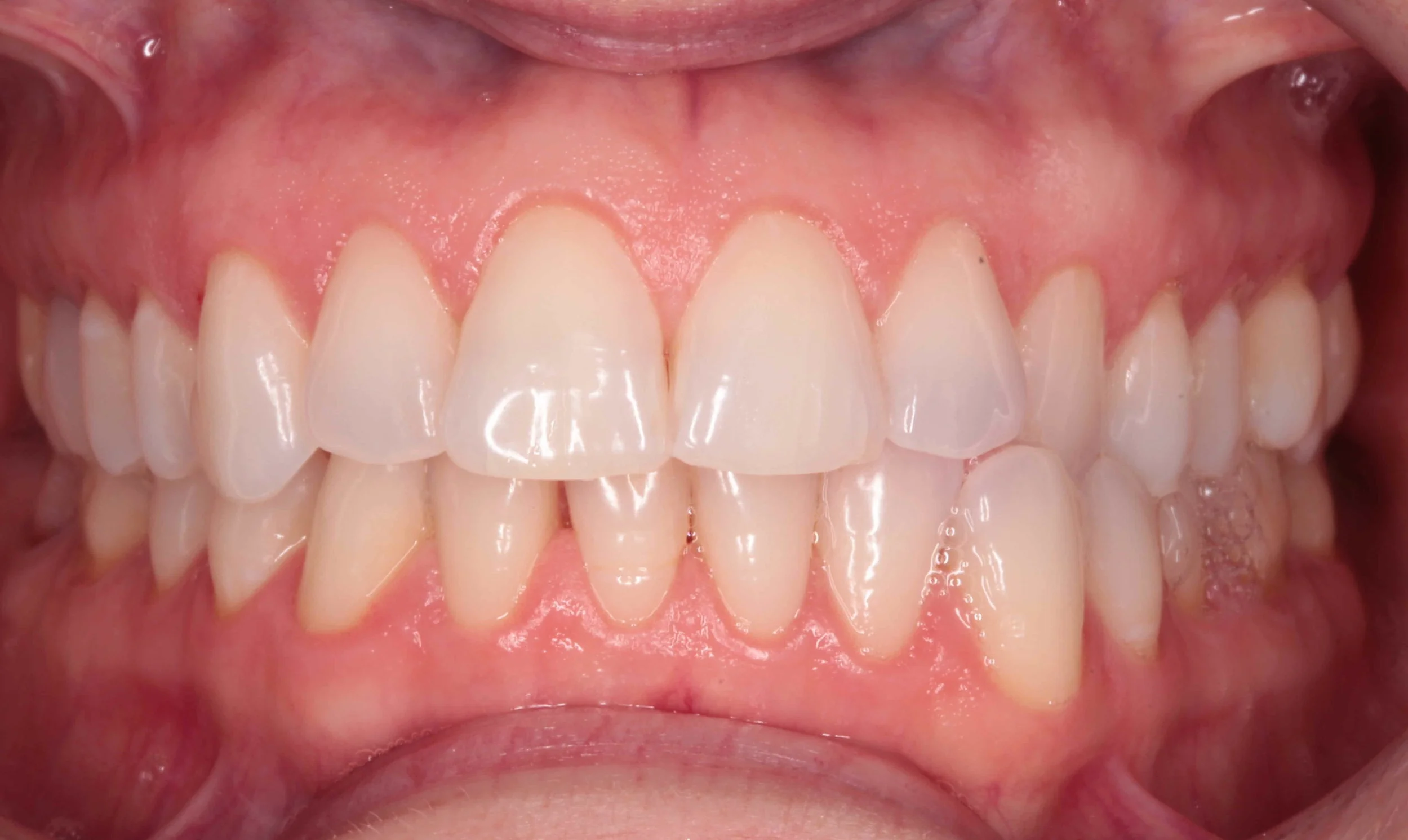
Click on the link to see our before & after Invisalign treatment portfolio.

BOOK NOW
Victoria Riechelmann