Learn more about gum recession

20190803_125432.jpg
BOOK NOW

Have you been Googling gum recession?

Well, we are the experts in gum treatments, so you are in a right place.

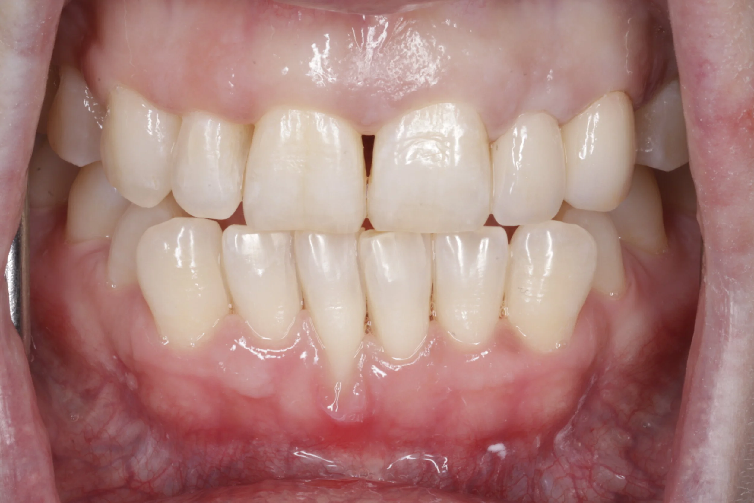
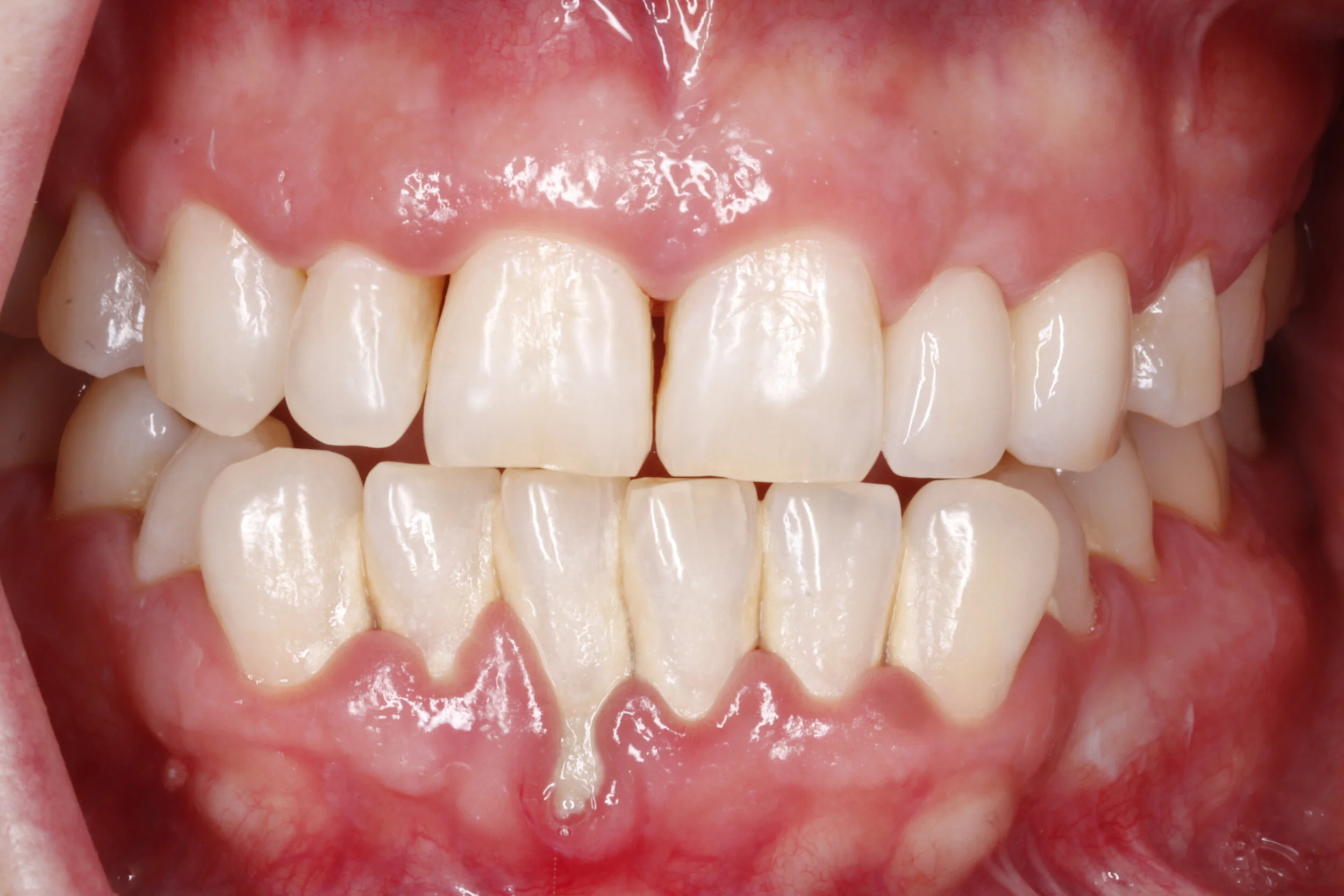
Gums can receed due to inflammation caused by gum disease or excessive wear cause by overbrushing, or other causes like local irritants such as piercing. Gum inflammation is by far the most common cause of receeding gums.

Signs and symptoms of gum recession are:

- loss of gum tissue
-exposure of the root surface
-increased root sensitivity

Be aware that advanced cases of gum recession can lead to eventual tooth loss.

What to do to prevent gum recession in the first place or arrest the already present recession?
- regularly visit your dental hygienist (3-4 monthly)
-close monitoring of the progression of the recession through regular periodontal charting (12 monthly)
-use correct tooth brushing technique, ideally switching to an electric Sonicare toothbrush.
-ensure your home care regime is correct and regular.

Can my gums grow back once they receed?

Unfortunately the only way to get your lost tissue is a gum graft surgery.  However, the graft may not be successful unless your gums are at their healthiest with no active gum disease.

Contact us for more information on how to treat or prevent gum recession. We are happy to help.



BOOK NOW
Victoria Riechelmann