Learn more about teeth whitening

BOOK NOW
IMG_20190606_141310.jpg

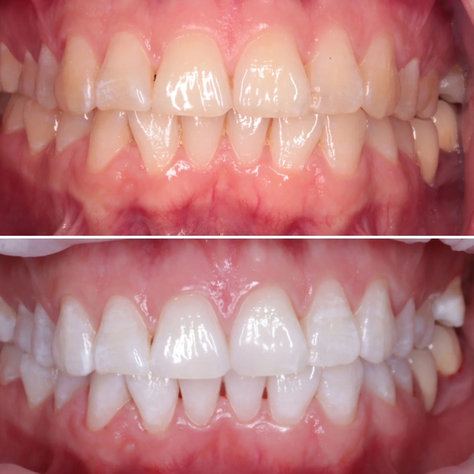
For ultimate results in case we used both In-Office and Take-Home Whitening Systems.

A confident smile is the most beautiful thing you can wear. Teeth whitening can revitalise and make your smile whiter and brighter, emitting a picture-perfect luster. We use high-end whitening products which are gentle on your teeth. Here at Clean Teeth Dental, we offer two types of teeth whitening.

Professional In-Office whitening treatment ($750) delivers fast & effective results within an hour. It is an excellent treatment on its own or as a booster for difficult or deep discolorations. It includes three in-chair applications of professional-strength whitening gel by a dental hygienist.

Take-Home whitening treatment ($750) includes custom made trays and gel applications. Gradual gentle whitening to enhance and brighten up your teeth, ideal as maintenance treatment to keep your teeth white long term. Custom made trays and a set of 4 syringes of “White Dental Beauty” whitening gel.

Teeth whitening treatments are not available for new clients without prior dental examinations.

Give us a call (09) 6003110

or book on line.

20190501_095207.jpg

Thank you

“Thank you Victoria. I love love love my WHITE teeth”

-Friena Sands (May 2019)

IMG_20190820_135238_309.jpg
BOOK NOW
Victoria Riechelmann