Broken Front Tooth

BOOK NOW

Getting aesthetic right when it comes to fixing the front teeth is not easy. We love the challenge.

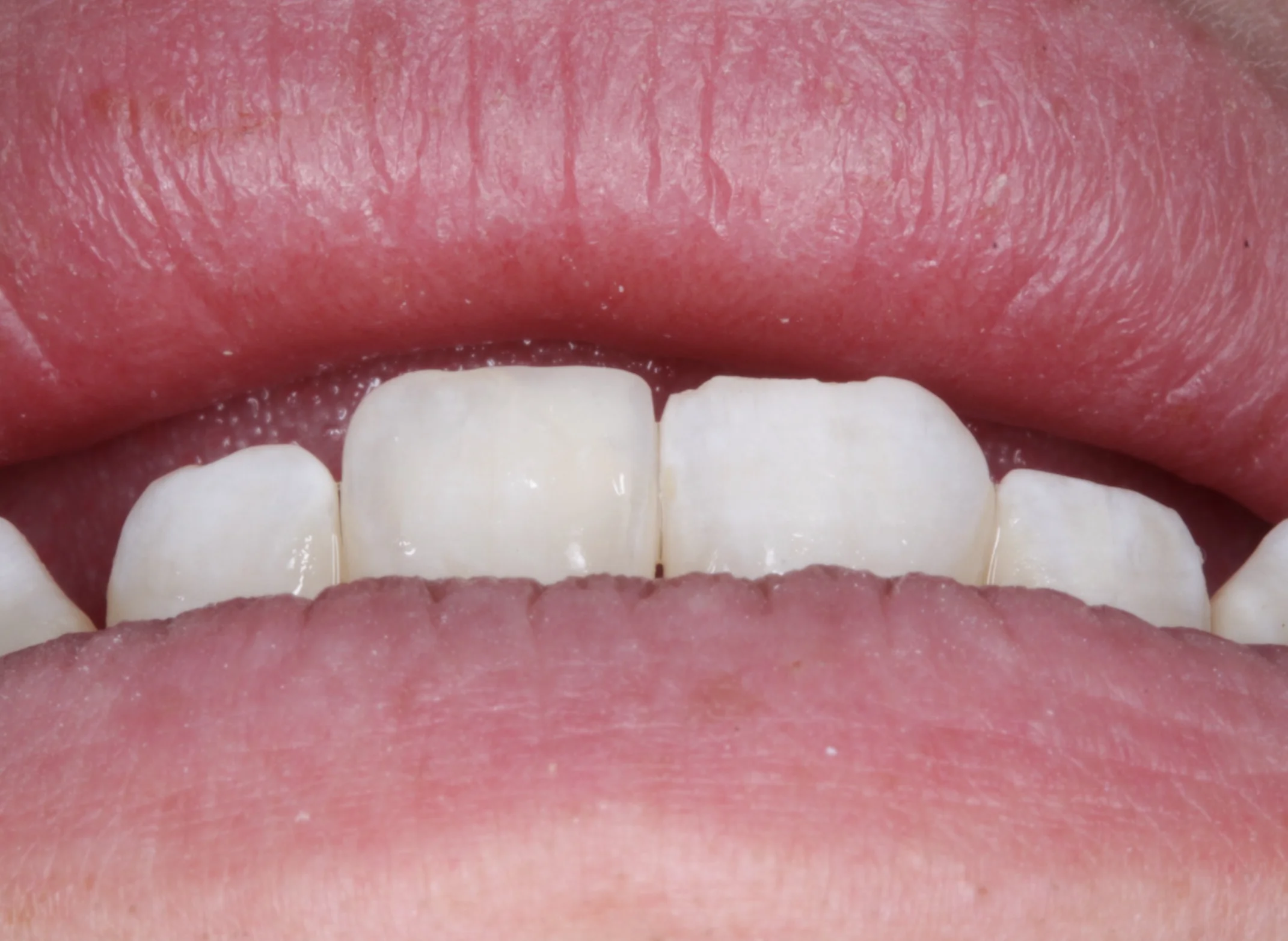
Initial situation

Initial situation

Shade selection

Shade selection

Polarised photo taken

Polarised photo taken

Moke up

Moke up

Rubber Dam Isolation

Rubber Dam Isolation

Guided built up

Guided built up

Palatal shell

Palatal shell

Rough finish

Rough finish

Shiny composite

Shiny composite

Final smile

Final smile

12 o’clock position

12 o’clock position

BOOK NOW
Victoria Riechelmann